ارتباط بین بیماریهای پریودنتال
ارتباط بین بیماریهای پریودنتال

ارتباط بین بیماریهای پریودنتال

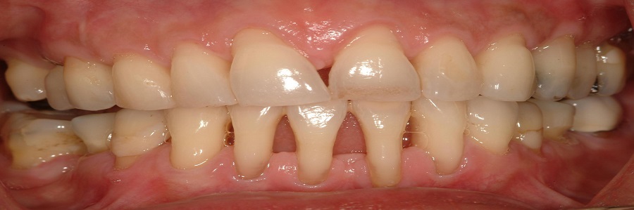
ارتباط بین بیماریهای پریودنتال (بیماریهای لثه و دیابت ملیتوس (دیابت شیرین) که در سال 2013 توسط Tarzia O و همکاران ایشان بررسی شده است. نتیجه : شواهد بالینی و اپیدمیولوژیک نشان داد که دیابت میتواند اثرات نامطلوبی بر بیماری پریو داشته باشد و بیماری پریودنتال به موازات کنترل نامطلوب قند خون وخیم‌تر میگردد و همچنین بیماریهای پریو با افزایش خطر عوارض دیابت ارتباط دارد.

منبع:

http://www.drskarimi.com

تعداد بازدید: 1106

تذکر مهم شما نمی توانید با تکیه بر مطالبی که در سایت e پزشک منتشر می شود مبادرت به خود درمانی کنید.