پزشکان و دندانپزشکان ← دندانپزشک متخصص
استان تهران، شهر تهران، بلوار آفریقا،بالاتر از خیابان اسفندیاری،کوچه تندیس، پلاک 4، واحدهای 1
88888590 (021) , 88200202 (021) , 88884546 (021)
88884546 (021)
info@drskarimi.com
http://www.drskarimi.com
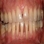
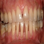
ایشان دوره های Sinus Lift Open و Bone Management (که شامل باز کردن استخوان می باشد) را زیر نظر پروفسور والاس از آمریکا به اتمام رسانده و موفق به اخذ مدرک دوره Master ایمپلنت از دانشگاه UCLA آمریکا (دانشگاه ایالتی کالیفرنیا-لس آنجلس) گردیده است.
از دیگر سوابق علمی ایشان می توان به موارد زیر اشاره کرد:
- عضو انیستیتو جهانی برای آموزش دندانپزشکان آمریکا (GIDE)
- عضو کنگره بین المللی ایمپلنت دهان و دندان (ICOI)
- عضو آکادمی دندانپزشکی زیبایی آمریکا (AACD)
- اخذ مدرک دوره پیشرفته CAD/CAM و لیزر از آلمان
- اخذ مدرک دوره مربوط به سرامیک های دندانی با آخرین متد زیبایی توسط کمپانی Ivoclar در لیختن اشتاین
دکتر کریمی در حال حاضر در حال گذراندن مستر لیزر از دانشگاه آخن آلمان (RWTH Aachen) می باشند.
کم خونی ناشی از کمبود ویتامین ها
میوکاردیت (التهاب عضله قلب)
پسوریازیس
بیماری مزمن انسدادی ریه
یبوست
فتق ناف
دردهای شکمی دوران قاعدگی (کرامپ قاعدگی)
متخصص گوش و حلق و بینی
متخصص بیماریهای مغز و اعصاب (نورولوژی)
فلوشیپ پریناتالوژی
فوق تخصص جراحی توراکس (قفسه سینه)
فوق تخصص گوارش و کبد
فوق تخصص عفونی اطفال
فوق تخصص غدد درون ریز و متابولیسم (اندوکرینولوژی)
بیماری ها
داروها
تغذیه و رژیم غذایی
بارداری و شیردهی
کودکان و نوجوانان
علائم و نشانه ها
آزمایشهای تشخیصی
پزشکان و دندانپزشکان
بیمارستان ها و مراکز درمانی
آزمایشگاه
مراکز تشخیصی
داروخانه ها
شرکت های دارویی
نهادها و سازمان ها
تجهیزات پزشکی