چرا ارتودنسی؟
چرا ارتودنسی؟

چرا ارتودنسی؟

چرا ارتودنسی؟
32 دندان موجود در فک در یک موقعیت طبیعی به صورت دو نیم قوس فک بالا و پایین به صورتی قرار میگیرند که عمل جویدن و یا آسیاب کردن غذا به نحو مطلوب ممکن گردد هر نوع انحراف از این موقعیت طبیعی دندانها باعث ایجاد مشکلاتی میشود که ضرورت ردیف کردن و یا برگرداندن موقعیت مناسب دندانها را ایجاب میکند که این عمل با درمانهای ارتودنسی میسر میگردد. ضرورت این کار تا حدی است که یک رشته تخصصی مهم و جداگانه ای در رشته دندانپزشکی به نام رشته تخصصی ارتودنسی ایجاد شده که از مهمترین رشته های تخصصی دندانپزشکی میباشد.
مشکلاتی که ردیف نبودن دندانها ایجاد میکند به سه دسته مهم تقسیم میشود که هر کدام را به صورت جدا گانه برسی میکنیم

تغذیه مناسب
ما برای یک تغذیه مناسب علاوه بر اینکه نیازمند دندانهای سالم هستیم نیاز داریم که این دندانها در سر جای خود قرار گیرد تا از عهده آسیاب کردن غذا نیز برآید برای آسیاب کردن غذا یا به اصطلاح جویدن غذا دندانهای فک پائین و بالا بایستی در یک موقعیتی قرار گیرند که در یک هماهنگی با عضلات عمل جویدن ممکن گردد هر نوع عدم تعادل و یا هر نوع جابجائی دندانها به صورتی که یک سیکل کامل جویدن را به هم بزند سیستم جویدن مختل میشود. این ضرورت اولی بود که ما را وادار میکند تا بتوانیم دندانها را در موقعیت مناسب قرار دهیم.

زیبائی...
زیبائی صورت امری است که نمیشود آن را جدی نگرفت به هر حال خداوند هر کدام ما را به یک صورت آفریده و خیلی از مشخصات

زیبائی صورت امری است که نمیشود آن را جدی نگرفت به هر حال خداوند هر کدام ما را به یک صورت آفریده و خیلی از مشخصات صورت ما به صورت ژنتیکی تعیین میشود.ولی عوامل محیطی هم در شکل گیری صورت بی تاثیر نیست به عنوان مثال وجود لوزه سوم ویا لوزه های بزرگ در سنین 7-8 سالگی باعث تنفس دهانی در بچه شده و همین امر در صورت تداوم با فشار منفی که در سقف دهان ایجاد میکند به مرور باعث کشیده تر شدن صورت و در نتیجه بسته تر شدن قوس فک بالا میشود که در موارد شدیدتر واقعاً به زیبائی لطمه میزند. با تشخیص به موقع و رفع تنفس دهانی بخوبی میشود از ایجاد این مشکل در بچه جلوگیری کرد. بسیاری از درمانهای ارتودنسی برای رفع ناهنجاری هائی که در ظاهر صورت اثر نامطلوب دارد صورت میگیرد. پس و پیش بودن دندانهای جلویی یا جلو و یا عقب بودن فک و عدم تناسب آن با صورت که باعث عدم زیبایی میشود همه نیاز به ارتودنسی را ایجاب میکند و این حق طبیعی هر فردی است که به فکر زیبائی خود باشد. چون برای یک شخصیت سالم واقعاً موثر است

مسائل بهداشتی
یکی از مشکلاتی که ردیف نبودن دندانها ایجاد میکند عدم توانائی در تمیزکردن مناسب این دندانها است. شما فکر کنید که در قوس فک بلای شما که همه در یک ردیف قرار گرفته اند یک دندان نسبت به بقیه داخل تر قرار گرفته باشد.... خوب چه اتفاقی می افتد. به طور معمول که مسواک میزنیم این دندان کمتر مسواک میخورد و در دراز مدت میبینید همین دندان همراه با دندانهای کناری زودتر از دندانهای دیگر میپوسد شاید این مسئله را زیاد جدی نگیرید ولی منی که هر روز با چندین بیمار از نزدیک سرو کار دارم بخوبی میبینم که چنین دندانها چطوری زود خراب میشود بقول معروف در نمونه های انبوه خود را بخوبی نشان میدهد. خوب با اصلاح وضعیت این دندان و هم ردیف کردن این دندان ما زمینه را برای بهتر تمیز کردن این دندان فراهم میکنیم.
پس به طور خلاصه ما برای درک موضوع ارتودنسی باید اول از همه بدانیم که یک دندان نرمال و ردیف شده چه مشخّص اتی دارد و دوم چه ناهنجاری هائی در ردیف بودن دندانها ممکن است پیش بیاید و سوم اینکه چه ضرورتی دارد که این دندانهایی که ردیف نیستند را ردیف کنیم
امروز استفاده از براکت‌های ارتودنسی برای کودکان و نوجوانان جزیی از دوره رشد شده است و هر روز به تعداد این افراد افزوده می‌شود. به حدی که در بعضی از کشورهای اروپایی یا آمریکا در حدود دو سوم کودکان ارتودنسی می‌شوند. البته تعداد افراد بزرگسالی هم که به این درمان روی می‌آورند، کم نیست.
دربعضی از کشورها، وجود سیم‌ها و براکت‌های ارتودنسی روی دندان نشانه تشخص و ثروتمندی به حساب می‌آید طوری که سبب شده بعضی از نوجوانان از براکت‌های جعلی استفاده کنند. به عنوان
مثال، در فیلیپین استفاده از این براکت‌های تقلبی به حدی رایج شده که پلیس برای افرادی که از آنها استفاده می‌کنند،
جریمه‌هایی را درنظر گرفته است. 
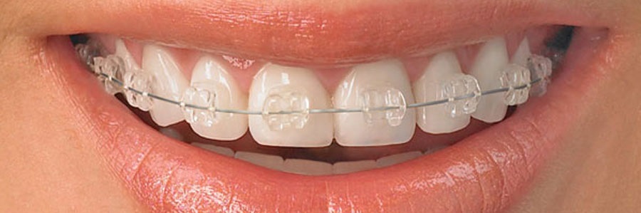
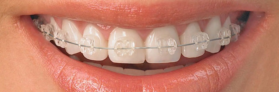
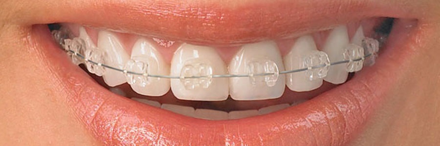
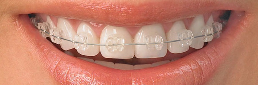
همه ما می‌خواهیم صورتی بدون ایراد و لبخندی زیبا داشته باشیم اما همیشه چنین نیست. دندان‌های فاصله‌دار، روی هم و چرخیده عواملی هستند که زیبایی لبخند را کم می‌کنند. خوشبختانه با درمان‌های ارتودنسی بسیاری از مشکلات را می‌توان برطرف کرد. برای انجام این کار می‌توان از دستگاه‌های ثابت و متحرک کمک گرفت. در این بحث ما به نکته‌ها و توصیه‌هایی درباره دستگاه‌های ثابت ارتودنسی می‌پردازیم. استفاده از براکت‌ها (دستگاه‌های ارتودنسی ثابت) برای ردیف کردن دندان‌ها حدود 150 سال قدمت دارد. در اواسط قرن 18 میلادی، یک دندان‌پزشک برای اولین بار پیشنهاد کرد که می‌توان با استفاده از نیروهای ملایم دندان‌ها را حرکت داد و آنها را در جهت درست هدایت کرد. این براکت‌ها به وسیله مقادیر کمی سیمان دندانپزشکی به دندان‌ها چسبانده شده و به وسیله سیمی به یکدیگر متصل می‌شوند. دندانپزشک در هر جلسه درمان، با تنظیم کردن این براکت‌ها، نیروی مشخصی را به دندان‌ها وارد می‌آرود تا در جهت درست و مناسب حرکت کنند. در طول مدتی که این براکت‌ها روی دندان‌ها هستند، لازم است به نکاتی توجه داشته باشیم. 

چه بخوریم؟ 
چه نخوریم؟
هر بار که خوراکی شیرین یا نشاسته‌ای را در دهان می‌گذاریم، محیط مناسبی برای باکتری‌های دهان فراهم می‌شود. این باکتری‌ها با تولید اسید می‌توانند مینای دندان را حل کرده و سبب ایجاد پوسیدگی شوند. 


در زمانی که براکت‌ها روی دندان‌ها هستند، محل ایده‌آلی برای تجمع خرد‌ه‌های غذایی و باکتری‌ها به وجود می‌آید که می‌تواند موجب ایجاد پوسیدگی در محل شود. پس باید در مورد خوردن خوراکی‌های شیرین دقت بیشتری به خرج دهیم و تا حد ممکن آنها را محدود کنیم. کشمش، بیسکوییت، عسل و میوه‌های خشک خوراکی‌هایی هستند که می‌توانند احتمال بروز پوسیدگی را در این دوران افزایش دهند.
خوردن خوراکی‌های سفت و چسبناک هم می‌تواند سبب شکسته‌ و یا کنده شدن سیم‌ها و براکت‌های ارتودنسی شود. پس در این زمان از جویدن یخ، آدامس‌های سفت، تافی‌ها، هویج خام، سیب درسته و یا نان‌های سفت اجتناب کنید. توصیه شده که میوه، سبزی‌های خام و غذاهای سفت را تکه‌تکه کرده و بعد در دهان قرار دهید.
در روزهای اول نصب براکت‌ها هم، از آنجا که دندان‌ها قدری حساس هستند، بهتر است تا حد امکان از غذاهای نرم استفاده شود.
چگونه دندانهایمان را تمیز کنیم؟
همان‌طور که اشاره شد، براکت‌ها محل خوبی برای تجمع غذاها و باکتری‌ها هستند. اگر این محل‌ها را به خوبی تمیز نکنیم، لثه‌های ملتهب و خونین، بوی دهان و خطوط سفیدرنگ پوسیدگی در اطراف براکت‌ها در انتظارمان خواهند بود. پس حتما بعد از هر وعده غذا باید دندان‌ها را به خوبی تمیز کرد و همچنین وقت بیشتری را برای مسواک‌زدن صرف کرد. اغلب در کودکان توصیه می‌شود که همیشه یک مسواک کوچک همراه داشته باشند تا بتوانند خارج از خانه هم دندان‌های خود را تمیز کنند.
بعضی مسواک‌های مخصوص هم برای بیماران ارتودنسی ساخته شده‌اند که تمیز کردن اطراف براکت‌ها را ساده‌تر می‌کند. علاوه بر اینها، استفاده روزانه از دهان‌شویه‌های حاوی فلوراید هم ضروری است تا بتوان احتمال بروز پوسیدگی‌ را کاهش داد. نخ دندان هم فراموش نشود. هرچند که استفاده از آن در حالی که براکت روی دندان نصب شده به طور قطع ساده نیست اما با کمی حوصله و تکرار می‌توان این کار را انجام داد. البته نخ دندان‌های مخصوصی هم به بازار آمده که برای بیماران ارتودنسی ساخته شده و استفاده از آن در این دوران راحت‌تر است.

اورژانس‌ها
با وجود همه توجهات ممکن، احتمال شکسته شدن یا جداشدن قسمتی از دستگاه‌های ارتودنسی وجود دارد. در این صورت باید هرچه سریع‌تر دندانپزشک خود را در جریان قرار دهیم تا دستگاه را تعمیر کند اما این کار زمان درمان را طولانی‌تر خواهد کرد.
در طول زمانی که براکت‌ها داخل دهان هستند، ورزش‌هایی مانند کشتی و بوکس ممنوع است و سایر ورزش‌ها
را هم فقط در صورتی می‌توان انجام داد که از گاردهای دهانی استفاده شده باشد.
زمان مناسب ارتودنسی چه وقتی است؟
در اغلب موارد ارتودنسی در سنین بین 9 تا 16 سالگی انجام می‌گیرد. در این سنین، استخوان‌ها هنوز در حال رشد هستند و آسان‌تر می‌توان آنها را در محل خود حرکت داد اما با این وجود، این درمان در بزرگسالان هم می‌تواند انجام شود. بیشتر افراد برای اولین بار بعد از نصب براکت‌ها احساس ناراحتی و درد می‌کنند. در این زمان دندان‌ها، در هنگام جویدن کمی دردناک و حساس هستند اما در حدود سه تا پنج روز بعد این مشکلات برطرف می‌شوند. علاوه بر آن، لب و زبان و گونه هم ممکن است در یکی دو هفته اول کمی اذیت شوند اما بعد از این مدت، فرد کم‌کم به وجود این براکت‌ها عادت می‌کند و به تدریج حتی وجود آنها را فراموش می‌کند. طول درمان هم متفاوت است و بسته به شدت مشکل، سن بیمار، وضعیت دندان و لثه، میزان توجه بیمار به دستورات، بهداشت و تغذیه بین یک تا سه سال به طول می‌انجامد.

انواع براکت
• نوع فلزی:
معمول‌ترین نوع براکت است و قیمت مناسب و قدرت خوبی دارد. این نوع براکت نسبت به سایر انواع براکت‌ها، نیاز به درمان کمتری دارد. در بیشتر موارد، از این نوع براکت‌ها برای انجام درمان‌های ارتودنسی استفاده می‌شود.
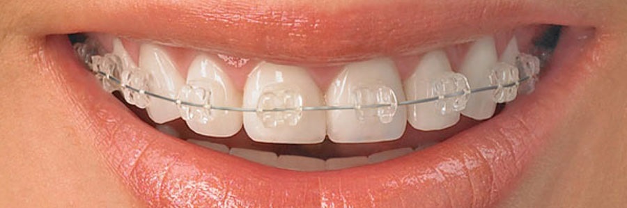
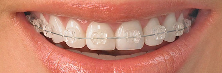
• نوع چینی (سرامیک):

        
این نوع براکت‌ها از کامپوزیت (ماده ترمیمی رنگ دندان) ساخته شده‌اند و از آنجا که در دهان دیده نمی‌شوند طرف‌داران
زیادی، به‌خصوص در میان بزرگسالان دارند. این نوع براکت به طور معمول کمی گران‌تر از انواع معمول بوده و چون نیروی کمتری به دندان وارد می‌آورد، برای اصلاح مشکلات پیچیده دندانی به کار نمی‌آید. 
• نوع زبانی (نامریی): 
این نوع براکت‌ها به جای نصب در قسمت خارجی دندان، در قسمت داخلی نصب می‌شوند و به همین دلیل قابل مشاهده در دهان نیستند. در این نوع براکت‌ها، احتمال صدمه به زبان بیشتر خواهد بود و موجب می‌شود تکلم فرد به سختی انجام گیرد. این نوع براکت‌ها هم برای حل مشکلات پیچیده دندانی کارایی ندارد. در هر صورت، دندانپزشک با توجه به سن، شرایط مالی، وضعیت اجتماعی و شدت مشکل نوع مناسب درمان را برای بیمار انتخاب خواهد کرد.

منبع:

http://www.doctormousavi.com

تعداد بازدید: 1448

تذکر مهم شما نمی توانید با تکیه بر مطالبی که در سایت e پزشک منتشر می شود مبادرت به خود درمانی کنید.