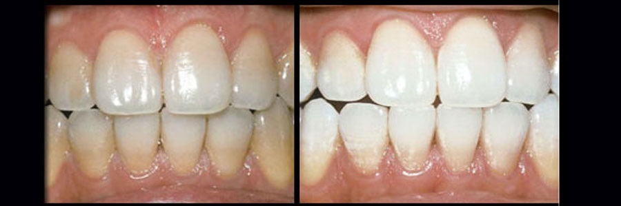
بلیچینگ
بلیچینگ

بلیچینگ

بلیچینگ

تاریخچه:
بیش از یک قرن است که بلیچینگ براى دستیابى به دندان هاى روشن ترمورد استفاده قرار مى گیرد.
اکثر موادبلیچینگ در زمان خودشان بى ضرر معرفى شده اند.
در سال ١٨٠٠میلادى ماده مورد استفاده کلرید اف لایم بود.کلرین محلول هیدرکسیدکلسیم و اسید استیک هم براى دندان هاى غیر زنده بود.
مواد دیگر در آن زمان کلرید آلومینیوم،اسیداگسالیک(پراکسیداتر)،دى اکسید هیدروژن(پراکسیدهیدروژن یا پرهیدرول)،پراکسید سدیم،هیپوفسفات سدیم و سیانید پتاسیم بود.
که بخش فعال اغلب این مواد یک ماده اکسیدکننده است که به طور مستقیم یا غیرمستقیم روى قسمت آلى دندان عمل مى نماید
در سال ١٩١٠ تکنیک بلیچینگ داخل مطب مشابه تکنیک هاىامروزباغلظت هاى پراکسید هیدروژن فعال شونده به همراه یا بدون نور است.
در سال ١٩٤٠ پراکسید هیدروژن و اتر براى دندان هاى زنده استفاده شد و پیروزون و پربرات سدیم براى غیر زنده.
در سال ١٩٦٠تکنیک بایچینگ داخل منزل به همراه ترى هاى حاوى کاربامید پروکساید مورداستفاده قرار گرفت.
تا امروز ترکیب هاى مختلف شیمیایى استفاده شده اند،ولى موثر ترین ان ها دسته اى است که عامل اکسید کننده آزاد مى کند،مثل پراکسید هیدروژن،کاربامید پروکساید،پرکربنات سدیم و ترکیبات مشابه.

علل تغییررنگ:
دو گروه داخلى و خارجى هستند
١-تغییر رنگ هاى خارجى که بر سطح دندان شکل مى گیرد و معمولا با پاک کردن برطرف مى شود.
علل آن:عدم بهداشت،مصرف دخانیات،مصرف خوراکى هاو نوشابه هاى رنگى،کلرهگزیدین،باکترى هاى کروموژنیک مى باشند.
٢-تغییر رنگهاى داخلى که به وسیله بلیچینگ قابل برداشتن است و درون بافت دندان است.
علل تغییر رنگ هاى داخلى:افزایش سن،خوراکى ها و نوشابه هاى رنگى،ترک هاى ریز مینایى،آمیلوژنزیس و دنتینوژنزیس ایمپرفکتا،دخانیات،کلرهگزیدین،مصرف تتراساکلین،وجود فلوراید بیش از حددر آب،یرقان شدیددر نوزادان،پوسیدگى دندان،نازک شدن مینا،ترمیم هاى آمالگام،درمان نادرست ریشه،تروماى دندان.
قبل از هر روش باید اتیولوژى تغییر رنگ با دقت ارزیابى شود.
تغییر رنگ زرد به علت افزایش سن در اکثر موارد سریع پاسخ مى دهد.
تغییر رنگ ها و لکه هاى آبى خاکسترى تتراسایکلین بسیار مقاوم هستند و کندترین پاسخ را دارند.
برطرف کردن لکه هاى قهوه اى فلوروزیس سرعت متوسطى دارند.
اصلاح تغییر رنگ ناشى از افزایش سن،ژنتیک،مصرف دخانیات و قهوه سریع تر برطرف مى شوند.
با افزایش سن عاج ثانویه بیشترى تشکیل مى شود و تیره تر و اپک تر است و از طرف دیگر میناى دندان نازک تر و لوسنت تر مى شود و دندان ها زردتر به نظر مى آید.
ضربه یا تروما خصوصا زمانى که به آن توجه نشود،باعث تغییر رنگ است.که در مراحل پیشرفته از بین بردن آن سخت تر است.
درمان هاى نادرست ریشه دندان،از آنجایى که سیلرهاى درمان ریشه حاوى موادى مثل بیسمون است،در صورت بودن در پالپ چمبر مى توانند وارد توبول عاجى شده و رنگ سیاه خاکسترى ایجاد کند.تمیز کردن آن ها پس از اتمام درمان ضورى است.این غفلت ساده موجب تغییر رنگ هاى فراوان و مقاوم است.
فلوراید اضافى موجب تداخل متابولیکى در آمیلوبلاستها و تشکیل ماتریس ناقص و کلسیفیکاسیون ناکافى مى گردد. باعث ایجاد میناى هیپومینرالیزه که در سطح داخلى،مینا متخلخل و در سطح خارجى کاملا مینرالیزه است.سطح این دندان ها شبشه اى و به جز نواحى با رنگ هاى زرد و قهوه اى و سیاه معمولا بسیار سفید است.
مصرف بعضى از آنتى بیوتیک ها خصوصا تتراسایکلین هنگام کلسیفیکاسیون روى عاج اثر مى گذارد و تتراسایکلین ارتوفسفات ایجاد مى شود کهدر دندان هاى جلو به علت در معرض آفتاب بودن،تیره تر و رنگ آبى خاکسترى و در دندان هاى خلفى به رنگ زرد است.
تتراسایکلین مى تواند دندان هاى رویش بافته را هم در گیر کند.
مینوسیکلین داروى درمان جوش محل اصلى تجمع آن در عاج ثانویه است و لگه آن مشابه تجمع آهن است.
بعضى از بیمارى هاى سیستمیک نیز باعث تغییر رنگ مى شوند.
یرقان شدید تغییر رنگ به خاطر بیلى روبین دارد.
اریتروبلاستوزیس فتالیس هم به خاطر انهدام سلول هاى قرمز خون تغییررنگ مى دهد.
با روش هاى معمول بایچینگ نقاط سفید دندان از بین نمى رود ولى به دلیل روشن شدن بقیه دندان کم تر در معرض دید قرار مى گیرد.براى اصلاح موارد مختلف فلوروزیسMicroabrasion روش انتخابى است که به آن در پایان خواهیم پرداخت.

منبع:

http://www.dradib.com

تعداد بازدید: 1458

تذکر مهم شما نمی توانید با تکیه بر مطالبی که در سایت e پزشک منتشر می شود مبادرت به خود درمانی کنید.