لثه
لثه

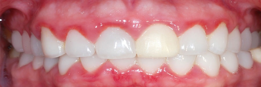
هر دندان دارای یک قسمت خارج از لثه به نام تاج و قسمت دیگری درون آرواره به نام ریشه می‌باشد که مرز بین این دو قسمت را گردن یا یقه دندان می‌نامند. ریشه دندان در درون حفره‌ای از استخوان فک قرار گرفته که این استخوان از نوع نابالغ می‌باشد. تاج دندان از داخل به خارج شامل مغز، عاج،مینا است و ریشه دندان از داخل به خارج شامل مغز، عاج، سیمان و لیگمان دور دندانی یا پریودونت می‌باشد. در وسط دندان حفره‌ای قرار دارد که این حفره در قسمت تاج، وسیع بوده واطاقک پالپی و در قسمت ریشه، کانال ریشه‌ای نامیده می‌شود. پالپ دندانشامل ماده زمینه‌ای، الیاف کلاژن ظریف، سلولهای فیبربلاست، ماکروفاژ،پلاسما سل، لنفوسیت، رگهای خونی و رشته‌های عصبی می‌باشد که عروق و اعصاب از سوراخی در عمق ریشه به نام سوراخ راسی به درون مغز وارد می‌شوند. در محیط مغز سلولهای سازنده عاج قرار گرفته‌اند. عاج بافت مینرالیزه‌ای شبیه استخوان می‌باشد که در اطراف مغز دندان، هر تاج و ریشه، قرار گرفته و ضخامت عمده دندان را تشکیل می‌دهد. مواد معدنی عاج عمدتا از نمکهای کلسیم به صورت بلورهای هیدروکسی آپاتیت می‌باشد که حدود 70 در صد وزن خشک آن را تشکیل می‌دهند. ماتریکس عاج حاوی الیاف کلاژن نوع I و کیکوز امینو گلیکان می‌باشد که توسط سلولهای سازنده عاج (ادونتوبلاست) سنتز و ترشح می‌گردند. عاج از نظر فیزیکی سفت تر از استخوان و زرد رنگ می‌باشد. عاج توسط سلولهای ادونتوبلاست ساخته می‌شود و زاویه این سلولها به نام زاویه تومز (Tomes Fibr) نامیده می‌شود. زاویه تومز در عاج، درون لوله‌های باریکی به نام لوله‌های عاجی قرار می‌گیرند. در سطح، رو به حفره مغزی تا پایان عمر ادامه می‌یابد. بنابراین با پیشرفت سن بر ضخامت عاج افزوده می‌شود و از صحت حفره مغزی کاسته می‌گردد. عاج ساخته شده در حد فاصل سلولهای ادونتوبلاست و عاج معدنی شده که فاقد مواد معدنی می‌باشد، پیش عاج نامیده می‌شود. عاج، بر خلاف استخوان در صورت از بین رفتن سلولهای ادونتوبلاستی برای مدتها باقی می‌ماند و این امر حفظ دندانهای فاقد مغز زنده را امکانپذیر می‌سازد. عاج به علت حضور زوایای تومز و انتهاهای عصبی آزاد در درون لوله‌های عاجی، بافتی حساس می‌باشد و همه تحریکات وارده به عاج به صورت درد دریافت می‌شود. به همین دلیل سطح عاج در تاج دندان توسط مینا و در ریشه توسط سیمان پوشیده شده است. مینا به عنوان لایه محافظی برای عاج تاج دندان محسوب می‌شود. مینا سختترین بافت بدن به شمار می‌رود که حدود 97 درصد آنرا مواد معدنی تشکیل می‌دهد که عمدتا به صورت بلورهای هیدروکسی آپاتیت می‌باشند. ماتریکس آلی مینا فاقد کلاژن و حاوی پروتئینهای ویژه‌ای به نام آمیلوژن (Amelogenin) وانملین (Enamelin) می‌باشد. ماتریکس مینا توسط سلولهایی به نام آمیلوبلاست سنتز و ترشح می‌گردد که این سلولها در مرحله تکامل جوانه دندانی در سطح مینا قرار دارند و چون پس از در آمدن دندن از بین می‌روند، مینا غیر قابل ترمیم است و هیچگونه آسیب وارده به آن جداره جبران نمی‌گردد. از نظر میکروسکوپی مینا از میله‌ها یا منشورهای مینایی تشکیل شده که از عمق به سطح قرار گرفته‌اند و در اطراف هر منشور مینا ناحیه غنی از مواد آلی به نام غلاف مینایی یا غلاف منشوری وجود دارد و ماده مینایی بین منشورهای مینایی را مینای بین منشوری می‌نامند. آخرین محصول سلولهای آمیلوبلاست در سطح مینا لایه ظریفی را تشکیل می‌دهد که کوتیکول مینا نامیده می‌شود. مینا از نظر فیزیکی به رنگ سفید می‌باشد که سطح دندان حداقل می‌باشد (عاملی که به شروع پوسیدگی در این نواحی کمک می‌کند). سیمان بافتی شبیه استخوان ولی فاقد سیستمهای هاوسی و رگهای خونی است که در سطح خارجی عاج را در ناحیه ریشه دندان می‌پوشاند. سیمان در نزدیکی یقه دندان نازک و در عمق ریشه ضخیم می‌باشد. سیمان نزدیک یقه و همچنین سیمانی که در مجاورت عاج قرار دارند، فاقد سلول است و به سیمان بی سلول مرسوم است. ولی در بقیه جاها سیمان سلول دار بوده و حاوی سلولهایی به نام سمنتوسیت می‌باشد. به علت سیمان سازی، ضخامت سیمان با پیشرفت سن افزایش می‌یابد. لیگمان دور دندان بافت همبند متراکمی است که هم به عنوان ضریع عمل می‌کند و هم اتصال محکمی را بین ریشه دندان و استخوان بوجود می‌آورد. این لیگمان در سطح رو به استخوان حاوی استئوبلاست و استئوکلاست و در سطح رو به سیمان حاوی سمنتوبلاست می‌باشد. بافت همبند تشکیل دهنده لیگمان دور دندانی، فاقد الیاف الاستیک و حاوی رگهای خونی و لنفی و اعصاب، مخصوصا در سطح مجاور سیمان می‌باشد. الیاف کلاژن لیگامان دور دندانی به صورت دسته‌های متعدد افقی و مایل، سیمان ریشه را به استخوان فک چسبانده‌اند. ترتیب قرار گیری و انعطاف پذیری این الیاف جابجایی محدود دندان و انجامعملیات ارتودنسی را امکانپذیر می‌سازد و همچنین به عنوان ضربه گیر از وارد شدن ضربه مستقیم به دندان و ساییدگی آن جلوگیری می‌کند. فعالیتهای متابولیک و سنتز کلاژن در لیگامان دور دندانی دارای شدت بالایی است و به همین دلیل هر گونه اختلال در سنتز کلاژن باعث اختلال در ساختمان لیگامان و لق شدن دندانها می‌گردد. لثه قسمتی از مخاط دهان می‌باشد که بطور محکم به پریوست استخوان فک در فک فوقانی و تحتانی چسبیده است. اپی‌کلیوم لثه در سطح رو به حفره دهانی از نوع سنگفرشی مطبق شاخی است که بافت همبند زیرین آلن دارای پاپیهای بلندی می‌باشد. در سطح مجاور دندان، اپی‌کلیوم لثه ضخیم شده و به سطح مینا چسبیده است و سلولهای اپی‌کلیال توسط اتصالات نیمه دسموزوم به این لایه متصلند. این اتصالات با یشرفت سن به طرف ریشه عقب نشینی کرده و باعث نمایان شدن ریشه می‌گردند.

منبع :

http://www.dr-afshinmirzaei.ir

تعداد بازدید: 1165

تذکر مهم شما نمی توانید با تکیه بر مطالبی که در سایت e پزشک منتشر می شود مبادرت به خود درمانی کنید.