انواع آرتریت
انواع آرتریت

انواع آرتریت

1- استئوآرتریت این بیماری باعث ساییدگی و پارگی غضروف مفاصل می‌شود و درد مفصل ایجاد می‌کند. برنامه مرتب ورزشی برای این افراد بسیار خوب است. با این کار عضلات اطراف مفاصل تقویت شده و از میزان وزن این افراد کم می‌شود. ولی از ورزش شدید جدا پرهیز کنید، زیرا ممکن است مفاصل را دردناک‌تر کند.

2- آرتریت روماتوئید یک بیماری خود ایمنی می‌باشد و بدن با بافت‌های موجود در مفاصل می‌جنگد. یک برنامه ورزشی شامل فعالیت و استراحت می‌باشد. هنگامی که خسته نیستید، ورزش کنید. حداقل یک بار در روز ورزش کنید. اگر بعد از بیدار شدن ورزش کنید، سفتی و سختی مفاصل در صبح را کم می‌کنید. برای این بیماران، ورزش‌های هوازی از قبیل: شنا و دوچرخه سواری بسیار مفید است. همیشه درست بایستید و درست بنشینید.

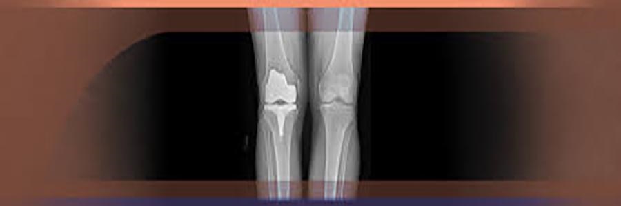
3- استئوپروز (پوکی استخوان) در این بیماری، بافت استخوان تحلیل رفته است. درد استخوان و شکنندگی استخوان از علائم این بیماری می‌باشد. برنامه مرتب ورزشی داشته باشید. ورزش کردن باعث تقویت استخوان‌ها می‌گردد. وزنه برداری، ورزش‌های قدرتی و ورزش‌های هوازی برای جلوگیری از استئوپروز مفید می‌باشند.

4- فیبرومیالژیا (Fibromyalgia) درد و سختی عضلات، تاندون ها و مفاصل به نام فیبرومیالژیا خوانده می‌شود. ورزش برای شما بسیار مفید است. تناسب اندام، بهبود خواب و کاهش درد از فواید ورزش برای افراد مبتلا به فیبرومیالژیا می‌باشد. ورزش‌های هوازی و قدرتی برای این افراد خوب است. برنامه مرتب ورزشی داشته باشید. همیشه طرز ایستادن و نشستن خود را درست کنید.

5- Ankylosing spondylitis یک نوع آرتریت نخاعی می‌باشد. بیمار، مفاصل مهره‌ها و خاصره خاجی را نمی‌تواند حرکت دهد. ورزش برای این بیماران حیاتی می‌باشد. کشش گردن، نخاع، شانه‌ها و ران‌ها از مهم‌ترین ورزش‌ها می‌باشد. ورزش‌های قدرتی برای کمر و ران‌ها از ورزش‌های خوب برای درست ایستادن و نشستن می‌باشند. شنا نیز یک ورزش عالی برای این افراد می‌باشد. اگر محدودیت حرکت در گردن دارید، از ماسک مخصوص تنفس در زیر آب استفاده کنید. از حرکات ورزشی تند و سریع اجتناب کنید.

6- لوپوس لوپوس نیز یک بیماری خود ایمنی می‌باشد. در این بیماری سیستم ایمنی بدن خوب کار نمی‌کند. این بیماری بر پوست، مفاصل، کلیه‌ها و دیگر اعضای بدن اثر می‌گذارد. بهترین زمان برای ورزش کردن، وقتی است که خسته نیستید. ورزش این افراد شامل نوع متعادل: کشش، قدرتی و هوازی می‌باشد. پیاده روی، شنا و دوچرخه سواری برای این بیماران خوب است. قبل از رفتن به تختخواب، ورزش‌های کششی را انجام دهید. از ورزش‌های با شدت زیاد جدا خودداری کنید. ورزش در بیماران آرتریتی که مفاصل را جراحی می‌کنند ورزش را ادامه دهید تا عضلاتی که مفاصل را حفاظت می‌کنند، تقویت شوند. اسکی و دوچرخه سواری انجام ندهید، زیرا ممکن است مفاصل جدید تحت کشش زیاد قرار گیرند. چند حرکت را با هم انجام ندهید. ورزش‌های شدید و قدرتی را انجام ندهید. بهترین ورزش‌ها بعد از جراحی مفصل، پیاده روی و شنا می‌باشند. بهتر است، از زیاده‌روی در این ورزش‌ها نیز جدا خودداری کنید، زیرا امکان دارد فشار زیادی را به مفاصل ترمیم شده، وارد کنند اگر جراحی زانو یا ران انجام داده‌اید، از دویدن خودداری کنید. اگر مفصل ران را جراحی کردید، بیش از حد خم و راست نشوید. نباید ورزش‌هایی را انجام دهید که زانو بالاتر از ران قرار گیرد و پاهای خود را ضربدری نکنید. اگر شما خواهان اندامی متناسب هستید، می‌توانید به کلاس ورزشی بروید و از وسایل ورزشی استفاده کنید، مانند: تردمیل و دوچرخه ثابت. نکات ضروری هنگام ورزش کردن هنگامی ورزش کنید که درد و سفتی مفاصل را نداشته باشید و خسته نباشید. لباس راحت و گشاد و کفش راحت بپوشید. یک دوش آب گرم قبل از ورزش باعث تمدد اعصاب می‌شود. هیچ گاه مفاصل را بیش از حد خسته نکنید. ورزشی که موجب درد شدید می‌شود را فوراً قطع کنید. اگر شما 2 ساعت بعد از ورزش احساس درد دارید، دفعه بعد آن ورزش را کمتر انجام دهید. زمانی که مفصل گرم و ملتهب است، ورزش نکنید. بهتر است ورزش‌های خوابیده را بر روی زمین انجام دهید. ورزش را برای خود یک عادت مانند غذا خوردن و خوابیدن قرار دهید.

منبع:

http://dr-malekan.com

تعداد بازدید: 1724

تذکر مهم شما نمی توانید با تکیه بر مطالبی که در سایت e پزشک منتشر می شود مبادرت به خود درمانی کنید.