پزشکان و دندانپزشکان ← دندانپزشک متخصص ← متخصص جراحی دهان و فک و صورت
استان تهران، شهر تهران، زعفرانیه، آصف، میدان اعجازی، نبش خیابان میرزایی، پلاک 52 ، طبقه 4، واحد 9
22427517 (021)
درمانهای روتین دندانپزشکی:
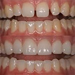
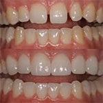
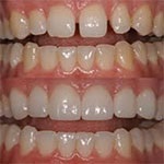
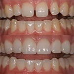
درمانهای زیبایی دندانی- صورتی:
برای اولین باردر ایران خدمات اختصاصی اسپای دندانپزشکی انجام می شود که شامل:
متخصص جراحی دهان و فک و صورت
یبوست
کم خونی ناشی از کمبود ویتامین ها
التهاب پانکراس (پانکراتیت)
فتق ناف
میوکاردیت (التهاب عضله قلب)
سندرم شیهان
پسوریازیس
فلوشیپ جراحی استخوان ومفاصل اطفال
فلوشیپ قرنیه و خارج چشمی
فلوشیپ قرنیه و سگمان قدامی
فوق تخصص قلب و عروق
متخصص گوش و حلق و بینی
فلوشیپ پیوند کلیه
متخصص بیماریهای مغز و اعصاب (نورولوژی)
بیماری ها
داروها
تغذیه و رژیم غذایی
بارداری و شیردهی
کودکان و نوجوانان
علائم و نشانه ها
آزمایشهای تشخیصی
پزشکان و دندانپزشکان
بیمارستان ها و مراکز درمانی
آزمایشگاه
مراکز تشخیصی
داروخانه ها
شرکت های دارویی
نهادها و سازمان ها
تجهیزات پزشکی