پزشکان و دندانپزشکان ← متخصص قلب و عروق ← فلوشیپ اینترونشنال کاردیولوژی
استان تهران، شهر تهران، خیابان شریعتی، نرسیده به تجریش، نبش کوچه رفعت، پلاک 1983
22730106 (021) , 22720628 (021)
09388986466
http://www.galborog.com
مقالات :
کم خونی ناشی از کمبود ویتامین ها
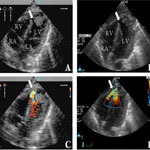
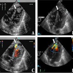
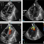
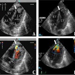
میوکاردیت (التهاب عضله قلب)
پسوریازیس
سندرم شیهان
بیماری مزمن انسدادی ریه
ندول های تیروئید
سرطان روده بزرگ (سرطان کولون)
فلوشیپ جراحی استخوان ومفاصل اطفال
فلوشیپ قرنیه و خارج چشمی
فلوشیپ قرنیه و سگمان قدامی
فوق تخصص قلب و عروق
متخصص گوش و حلق و بینی
فلوشیپ پیوند کلیه
متخصص بیماریهای مغز و اعصاب (نورولوژی)
بیماری ها
داروها
تغذیه و رژیم غذایی
بارداری و شیردهی
کودکان و نوجوانان
علائم و نشانه ها
آزمایشهای تشخیصی
پزشکان و دندانپزشکان
بیمارستان ها و مراکز درمانی
آزمایشگاه
مراکز تشخیصی
داروخانه ها
شرکت های دارویی
نهادها و سازمان ها
تجهیزات پزشکی